岐阜市中鶉の歯医者「はなみずき通り歯科」
虫歯治療・歯周病治療・予防歯科・こども歯科
・歯並び・審美歯科・ホワイトニング
まずは、保護者の方と一緒に治療器具のないカウンセリングルームに入っていただき、お話を聞くことから始めます。
歯科にかかるのは初めてか?前の歯科での状況はどうだったか?恐怖心はどれぐらいあるのか?等、お子様の歯科に対する反応をみさせていただきます。
*応急処置が必要な患者様は、早急に処置を行う場合があります。
次に治療室に入りましょう。(キッズスペースや天井モニター等なるべく恐怖心を軽減できるファミリールームもご用意しています。)
いざ治療用チェアーを目にすると大泣きしてお母さんから離れられない子もいれば、意外と平気で1人でなんでもできてしまう子もいます。
なるべく怖い思いをせず、簡単なことから、歯科に慣れていけるようなその子にあった方針を考えます。
1つのやりかたにこだわらず、あらゆる角度から歯科を受け入れていく第一歩を探します。

ステップアップルーム

天井モニター

ファミリールーム
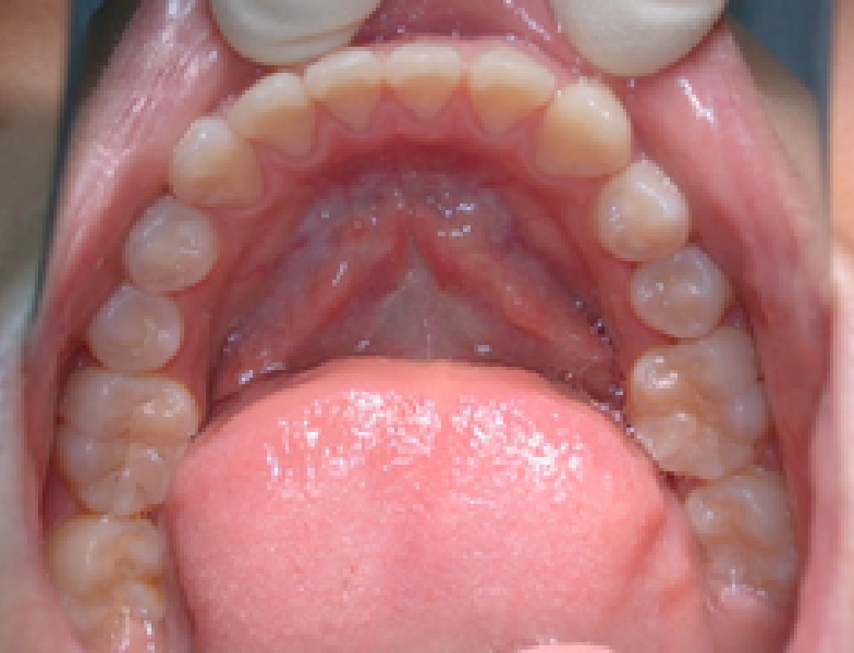
まずはお口を開けるところからです。
一人で無理ならお母さんの膝の上でもかまいません。
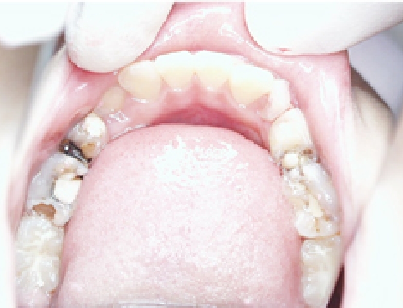
お口を開けられたなら歯科用ミラーで虫歯をチェックしてみましょう。
歯科用ミラーが怖ければ、歯ブラシをお口に入れてみましょう。
………
といった感じで1つずつステップを踏んで、お子様との信頼関係を築きながら治療を進めていきます。
一見遠回りをしているように感じることがあるかもしれませんが、1本の虫歯に固執するあまり、トラウマを作ってしまうことだけは避けたいと思います。
過度な恐怖心で予防にすら通えなくなってしまい、大人の歯までボロボロになってしまうこと・・・これが1番不幸な結果ではないかと考えています。
子供の歯の最大のメリットは永久歯に生え変わる事、つまりやり直しが効くことだと思います。
現在、子供の歯に多数の虫歯があっても、正しい予防、食生活、ブラッシングを身に付け、これ以上虫歯を作らないように努力することも、1本の虫歯を治すこと以上に大切なことです。


恐怖心が強く、なかなか治療できませんでしたが、応急処置と予防中心の治療をがんばった結果、大人の歯に1本も虫歯はありません。


当院ではステップアップルームという部屋を
用意しております。
0才、1才、2才、3才等の小さなお子様でも、
楽しくすごせる、キッズ専用の
お部屋になります。
このお部屋には、お子様達が恐怖心を
感じるものは、一切置いてありません。
むしろ、かわいいキャラクターや
おもちゃに囲まれ、リラックスして
過ごしていただけると思います。
お部屋に入っていただきましたら、
まずは、お子様の歯に関するお悩みを
お話ください。
例えば…
![]()
生え始めた
ばかりの
乳歯の
歯磨きのこと
![]()
おやつの食べさせ方
![]()
虫歯の予防法
![]()
フッ素塗布の
時期
![]()
将来の歯並び
わからない事、
不安に思う事が多いと思います。
歯磨き、上手にできてますか?
お子様のことを思い、必死で歯磨きをしようとしても、嫌がって、なかなか上手にさせてくれないのではないでしょうか。
ついつい、甘い物や、軟らかいものばかり食べさせてしまっていませんか?
食事やおやつに関しても、歯を守る上で重要なポイントがあります。
虫歯はもちろん、歯並びを良くしていく上でも、知っておいてほしい事があります。
小さなお子様は、とにかくこちらの思い通りにいかないものですよね。
その中での歯磨きの仕方、予防に関する知識をお伝えし、歯科の観点からの「食育」を実践する事で、お子様に健やかな成長をしていただく手助けができればと思います。





食育という言葉をご存知でしょうか?
体によい食を学び、選ぶ力を育てる事です。
「食育」は体を作るための生涯学習であり、年齢に関係なく取り組む活動です。
つまり、歯が生え始め離乳食が始まる、生後半年ぐらいから、食育は始まるのです。
赤ちゃんは、歯の本数に応じて、食物を咀嚼し、飲み込む事を覚えていきます。
その時期にあった、食べ方、食べ物、味付を知る事で、好き嫌いの少ない、何でも食べれる子に導く事が大切です。
おやつに甘いものや、味の濃いものを与えすぎると、せっかく作ったご飯が物足りなく感じてしまいますよね。
結果、食事ではなく、おやつの量と回数が増えるという、負のサイクルから抜けられなくなってしまいます。
重要なのは、砂糖や食塩ではなく、食べ物本来の味で満足する味覚を育てる事、さらに、よく噛んで唾液を出し、
より素材の味を感じる事、そういった食事を身に付けていく事です。
こういった「食育」に関する知識をお伝えすることで、「虫歯ゼロでよい歯並び」のお手伝いができればと思います。
酸性が強いものを食べたり飲んだりすると、酸によって歯が溶け出してしまうリスクがあります。
これを酸蝕歯(さんしょくし)といい、虫歯や歯周病に続いて歯を失う原因のひとつとなります。
次の表は、食品の酸性度を示しています。
お子様に与える食品を選ぶ際にも、酸性度を意識してみてはいかがでしょうか。


生後7〜8ヶ月。
下の歯(下顎乳中切歯)が
生える時期になります。
下の前歯が生えて離乳食を食べるようになったら、おっぱい以外の水分も、少しずつ飲ませる練習をしましょう。
まずはスプーンで練習し、上手に飲めるようになったらコップを使い練習します。
ストローを使うのはなるべくその後にしましょう。
スプーンを使って横からすすり取らせます。

POINT上唇が降りてくるまで待ちましょう!

生後9〜11ヶ月
上の歯(10ヶ月頃から、上顎乳中切歯、
11ヶ月頃から上顎乳側切歯)が生えてきます。
奥の歯茎が盛り上がってきます。
この時期は、保護者の方からお口に入れてもらうだけではなく、自分でやりたい!自分で食べてみたい!とやりたがりの時期です。

手づかみ食べは、目、口、手などを同時に動かさず協調運動を伴い、手や指で食べ物をつかみ、口へ運ぶ基本的な動作の訓練につながります。
最初は5本の指すべてを使っても上手に食べられなかったものが、一本一本の指への力の入れ方や動かし方を体得し、人差し指を使ってつぶしたり、つまんだりできるようになってきます。

自分の指や手が自由に動かせるようになると、スプーンやフォーク、お箸といった道具を上手に使って食べることができるようになります。
手づかみ食べは、赤ちゃんの脳や身体、
心の発達のためにも大切です。